
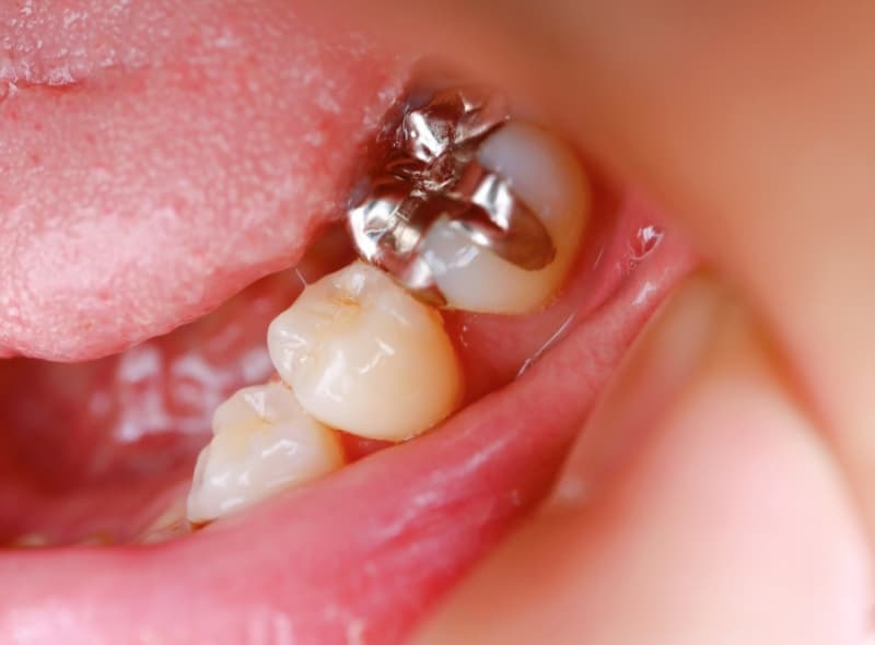
『銀歯が目立つ』『笑顔に自信が持てない』など、お口の見た目について気になっている事はありませんか?口元の表情で、その人の印象も変わりますよね。歯は、しっかり噛めることが大切なのはもちろんですが、清潔さや美しさも重要なポイントです。
学会等で、海外の歯科医の先生方とお話しする機会がありますが、「日本人の多くが銀歯を被せている」と話をすると「なぜ先進国の日本で…」と驚かれます。
千葉みなとの歯医者「佐藤歯科医院」では、最新型セレック”プライムスキャン”を導入し、院内に技工室を設け、出来るだけ技工を外注せず、ドクターを含め確かな技術を習得したスタッフがセラミックを作製しているため、他医院と比較して大幅に安価でのセラミック治療が可能です。
また、2021年より日本人のために開発されたオフィスホワイトニングを導入したことで、より白さを実感できるようになりました。
セラミックの歯は、保険が適用されない自由診療になります。しかし、より美しく、また長期間安定した治療法です。先進国、特にヨーロッパでは歯に被せるものはセラミックが一般的で、日本のように銀歯を被せる事はほとんど行いません。その違いを表にまとめました。
| メタル(銀歯) | セラミック | |
|---|---|---|
| 審美性 | 白い歯の中で目立ってしまう | 自然な白さと透明感を持ち、まわりの歯と見分けがつかない |
| まわりの歯 | 天然歯より硬く、咬み合う歯を傷めてしまうことがある | 天然歯に近い軟性を持たせたセラミック素材を選択することが可能 |
| 歯ぐき | 経年によって溶け出してイオン化し、黒ずませてしまう | 影響なし |
| 身体 | 金属イオンによって、金属アレルギーを引き起こすことがある | 影響なし |
| 汚れ | 汚れやすいので、2次むし歯になりやすい | 汚れにくい |
| 生活歯(神経のある歯) | 熱伝導性が高いため、生活歯の場合、凍みる | 生活歯でも、凍みる事が少ない |
| 保険 | 保険診療が適用 | 保険外診療 |
| (1)エンプレス |
(A)エンプレス 1本につき 22,000円 (B)エンプレスマルチ 1本につき 44,000円 |
|---|---|
| (2)e-Maxクラウン |
1本につき 55,000円 技工所外注の場合 66,000円 |
| (3)ハイブリットセラミック |
(A)レジン型 1本につき 27,500円 (B)セラミック型 1本につき 38,500円 |
| (4)ジルコニア | 1本につき 44,000円 |
| (5)グラデーションジルコニア(ハイトランス) | 1本につき 55,000円 |
| (6)ジルコニア&セラミック クラウン | 1本につき 88,000円 |
| (7)セルトラ | 1本につき 33,000円 |

(A)エンプレス(一般的なセラミック)
ヨーロッパで開発され、世界中で使われている二ケイ酸リチウムを主成分とするオールセラミックです。光の屈折率が天然歯に極めて近く、自然感にあふれる歯が作れます。
当医院では、インレー・クラウンともに可能です。臼歯では厚みがないと破折するリスクがあります。1年保証。
(B)エンプレスマルチ
エンプレスをさらに審美的にしたセラミックです。主に前歯に使用しますが、2mm以上の厚みが必要です。3年保証。
市場価格:8万~15万円(ha.shiritai.comより)
当医院:エンプレス 22,000円
当医院:エンプレスマルチ 44,000円

二ケイ酸リチウムを主成分とし、強度、耐疲労度ともにエンプレスの倍以上あり、フルセラミックの中では最も優れた材質です。よって、臼歯(奥歯)でも、1ミリ以上の厚みがあれば十分に対応できます。IPSイボカラーを使ったステイニングやカットバックによる築盛法により、より美しいセラミック治療が可能です。強くて美しい治療として、前歯および臼歯でもお勧めできる治療方法です。3年保証。
市場価格:8万~15万円(ha.shiritai.comより)
当医院:55,000円
※技工所外注の場合 66,000円

レジン(歯科用プラスチック)とセラミックをかけ合わせた材質です。適度な柔軟性を持ち、同時にセラミックの強度を持ちます。しかし、長期では変色を起こす事やセラミックより汚れが沈着しやすいなどの欠点があります。レジン型とセラミック型があります。
(A)ハイブリッドレジン型
最も安価ですが、レジンの配合率が30%~50%と高く、長期ではレジンの欠点である変色や劣化が起きます。保険導入されたCAD/CAM冠はこちらにあたります。
フィラー圧縮配合したハードタイプであれば長期でも安定。2年保証。
27,500円
お勧め(B)ハイブリッドセラミック型
セラミックの配合率が90%以上と配合率の高いハイブリッド型で歯のエナメル質の硬さに最も近く、曲げ強さがあるので歯ぎしりの強い方でも安心して使用できます。インレーやアンレーに適しています。インレー(部分的な被せ物)としては、最もオススメできる材質です。当院では、Vita社 エナミックを使用します。3年保証。
38,500円

ダイヤモンド代用石として使われる人工ダイヤモンド(キュービックジルコニア)として良く知られています。歯科で使われるジルコニアは、これに近い組成で金属のように腐食することはなく、生体親和性が良く人工関節などにも使用されています。また強度、耐久性に優れ、臼歯部にも使われ、長いブリッジにも適応できます。
ジルコニア本体の色は天然歯よりも白く、透明感がありません。よって、ジルコニア単体のものは前歯には不向きです。歯よりも硬すぎるのが欠点。5年保証。
市場価格:5万円~10万円(デンツプライ調査より)
当医院:44,000円

従来のジルコニアに比べて透明感が強く、エナメル質の質感が再現可能となりました。細かい色をつける事は出来ませんが、前歯にも全く問題なく使用できます。天然歯にかなり近い彩度となり、コストパフォーマンスからもお勧めの治療法です。6歯までのブリッジには対応できます。透明感の強い歯の色を持つ、我々日本人には適しています。
最も新しい治療方法ですので、市場価格は不明です。お勧めできる方法です。8年保証。
当医院:55,000円

ジルコニアをベースにして、その上にセラミックを築盛していく方法です。患者様の写真を見ながら、技工士が数種の色のついた陶材を盛って作ります。最も再現性が高く、審美性に優れている治療方法です。
技工士が時間をかけて作製しますので、費用が高くなります。8年保証。
市場価格:8万円~18万円(ha.shiritai.comより)
当医院:88,000円
ジルコニアの結晶子を含有した高強度ガラスセラミックです。ある程度の強度を有し、仕上げ面が美しいのが特長。前歯から小臼歯まで使用できます。お勧めのセラミックです。3年保証。
33,000円

特殊なビデオカメラを使って、お口の中の撮影をします。今までのような印象材を使った歯型取理は行いません。セレック治療は、立体的に撮影できる特殊なビデオカメラでお口の歯形取りを短時間で印象採得が終える事が出来ます。印象材や石膏模型を使用しないので、印象誤差がほとんどありません。時間にして約3~5分程度。

そしてコンピューターが口腔内の立体画像を作ります。画像を基にして、被せるものの設計を行います。約15~20分。

被せるものの設計ができると、今度はセレック専用3Dマシーンでセラミックを削り出します。当医院が導入している最新型MC=XLは、4本のダイヤモンバ_にて削るので、かなり精度の高いセラミックが作り出せます。
出来上がったセラミックは、最後の調整と研磨をして完成となります。30分から1時間かかります。
e-maxやエンプレスなど、炉の中での燃焼が必要な場合は、さらに3~4時間が必要です。また、ジルコニアはすべて外部の技工所に外注しています。

いよいよお口の中にセットします。セットはセメントではなくレジン接着材にてつけます。歯との直接接着ですから、長期保存が可能になります。写真はハイブリッドセラミック(エナミック)を奥の2本に被せました。
最短で2時間あれば治療は完了します。よってワンデートリートメントが可能です。
※当日完成セットは前もっての申し出がある場合のみとなります。

前歯のむし歯治療で、出来るだけ自身の歯を残して治療する場合は詰める治療を選択します。しかし、保険でのレジン充填は変色する事と色が単色のため自然な感じが再現できません。
レアリング充填は、カメレオン効果(辺縁がぼやけて見える)のある数種類のレジンを築盛していく方法です。
当医院では、レアリング用として トクヤマ アステリア を使用しています。
市場価格:あまりこの方法を採用している先生はいませんので、不明です。
当医院:8,800円

歯の色は遺伝のほかに、コーヒーや紅茶、赤ワイン、カレーといった飲食物に含まれる強い色素の影響、また加齢によって徐々に黄ばんでいきます。こういった黄ばみは、もうブラッシングでは落とすことはできません。
そこで千葉みなとの歯医者「佐藤歯科医院」では、身体に安全な薬剤を使って歯を白くする「ホワイトニング」をおすすめしています。自然な白い歯を手に入れ、口元の自信を取り戻しませんか?

初めに、歯科医院で歯型を採り専用のマウストレーをつくります。ご自宅でそのトレーに薬剤を入れ、毎日一定時間装着し、歯を白くしていきます。効果が現れるまで数週間かかりますが、ご自宅でマイペースに行え、色の後戻りが少ない点がメリットです。

歯科医院で歯の表面に薬剤を塗布し、特殊な光を当てて歯を白くしていきます。効果が現れるのが早く、1回の処置でも白さを実感できます。ただし、色の後戻りが早いので、注意が必要です。
結婚式や成人式といった短期間のイベントなどに合わせて利用される方がいらっしゃいます。
アメリカで開発され、日本でも厚生労働省が歯科医院向けに認可しているホワイトニング剤です。粘度があるためトレーから漏れにくく、だ液とも混ざりにくいです。さらに口臭防止効果もあります。
2021年より、炭酸水素塩をつかった新しいオフィスホワイトニング剤を導入。日本人に合った歯の白さを実現できるようになりました。
| トレー製作費 片顎 | 8,800円 |
|---|---|
| トレー製作費 全顎 | 17,600円 |
| 使用薬剤 | 1シリンジ 2,200円 |
※ほとんどの方が、1シリンジで効果を得られます。
※他院に比べ、かなり抑えた費用設定になっています。
※料金は税込表示となります。
| 1回につき | 22,000円 |
|---|---|
| 2回目から | 11,000円 |
※基剤の提供会社との契約のため、以前より値上げとなりました。
※料金は税込表示となります。