歯周病治療
PERIO

歯周病治療
歯周病は、歯垢(プラーク)の中の歯周病菌によって引き起こされる感染症です。
初期は歯ぐきの炎症(歯肉炎)から始まりますが、痛みなどの自覚症状はほとんどありません。放置すると炎症が歯を支える骨(歯槽骨)にまで及び、骨が溶かされていきます。
歯がグラグラし始め、最終的には歯が抜け落ちてしまうこともあります。また全身の健康にも影響を及ぼすことが明らかになってきました。
歯周病と全身疾患

歯周病は、口腔内の問題にとどまらず、全身の健康にも影響を及ぼす可能性が明らかになってきました。歯周病菌は、血流に乗って全身を巡り、さまざまな臓器に悪影響を及ぼすことが近年明らかになりました。特に、心血管疾患や糖尿病との関連性が指摘されています。
-
糖尿病

糖尿病の患者様は、血糖値が高い状態が続くことで血管がもろくなりやすくなります。そのため、お口のケアが不十分だと歯肉に炎症が起こりやすくなり、放置すると歯周病の重症化リスクが高まります。
-
心臓病

歯周病菌が原因で血管内に血栓が作られ、それが心臓の血管に詰まると心臓病を引き起こします。動脈硬化や大動脈瘤の患部の血管を検査すると、歯周病に関連する細菌が多く検出されています。
-
早産

歯周病を持つ妊婦の早産になるリスクは歯周病でない人の約7倍と言われています。また、妊婦の血液中の歯周病菌は胎盤に付着し、細菌感染を引き起こします。その結果、おなかの赤ちゃんが出産時の胎盤を通して歯周病菌に感染するリスクもあります。
-
肺炎

お口の中に歯周病菌が多い場合、飲食物が誤って肺に入った際に、歯周病菌も一緒に侵入し、重篤な肺炎を引き起こすリスクが高まります。また、高齢者ほど体の免疫力も低下しているため、感染しやすくなります。
歯周病の進行について
- Flow01
軽度

歯の表面に付着した歯垢(プラーク)が原因で歯肉に炎症が起きると、歯磨きなどのわずかな刺激でも出血しやすくなります。さらに、炎症によって歯と歯肉の間の溝が深くなり、「歯周ポケット」が形成されると、そこが新たな歯垢や歯石の温床となり、ご自身での清掃が困難になっていきます。
- Flow02
中等度

「以前より口臭が気になる」「指で押すと歯が少し動く気がする」といったお悩みは、歯周病が進行しているサインかもしれません。ご自身では見えない歯肉の内部で、歯周ポケットがより深くなり、歯を支える大切な骨(歯槽骨)が歯周病菌によって少しずつ失われ始めている可能性があります。
- Flow03
重度

「歯が大きくグラついて食事がしづらい」「歯肉から膿が出てくる」といった症状がある場合、歯周病が深刻なレベルまで進行しているサインです。歯を支える土台である歯槽骨が大きく失われ、歯が抜け落ちてしまう一歩手前の状態とも言えます。ご自身の歯を守るためには、これ以上進行を放置せず、一刻も早く歯科医院へご相談ください。
歯周基本治療
-
歯周病検査

歯周病検査では、主に3つの項目を確認します。まず、専用の器具(プローブ)を用いて歯周ポケットの深さを測定。次に、プローブを挿入した際の出血の有無で炎症の状態を評価します。最後に、歯をピンセットで保持し、動かした際の揺れの程度(動揺度)を診ることで、歯周病の進行レベルを総合的に診断します。
-
プラークコントロール

プラークコントロールとは、歯周病の直接的な原因である細菌の塊(プラーク)を徹底して取り除き、炎症のない健康な口腔環境を目指す、すべての歯周病治療の第一歩です。治療では、まず歯の表面に付着した歯垢や歯石を除去。必要に応じて歯周ポケット内部の清掃も行い、原因菌が再び付着しにくい環境を整えます。併せて、効果的なセルフケアを実践いただくためのブラッシング指導も、この治療の重要な柱となります。
-
歯石除去

歯周ポケットの奥深く、歯の根の表面にこびり付いた歯垢・歯石を、専門の手用器具(スケーラー)で精密に取り除き、再付着を防ぐために表面を滑沢に仕上げます。当院が手作業での処置を基本とするのは、術者の指先の感覚を通じて、歯石の位置や量を正確に把握し、より確実な除去を目指せるためです。歯面への負担や飛沫の発生を抑えられるという利点も考慮し、この方法を採用しています。
歯周内科的治療

歯周病治療では、従来から外科的処置が行われてきました。当院ではそれに加え、抗菌剤を使って歯周病菌をコントロールする内科的治療を行っています。
初めに位相差顕微鏡を用いてプラークの中の歯周病菌の検査を行い、最も強い歯周病原因菌(レッドコンプレックス)が大きく見られる場合はその状態に適した服用薬を処方して、歯周病菌を除菌。また真菌が多い場合には、有効なブラッシング剤「ペリオバスター」を使用して改善へ導きます。
いずれも処置後に再検査を行い、歯周病菌が減少していることが確認できれば治療完了です。喫煙習慣のある方は効果が出にくくなりますが、非喫煙者の方であれば有効な治療法だといえます。
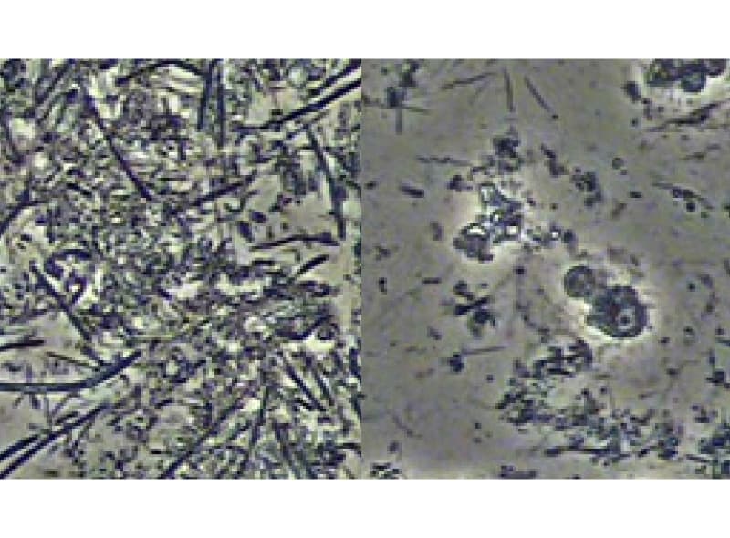
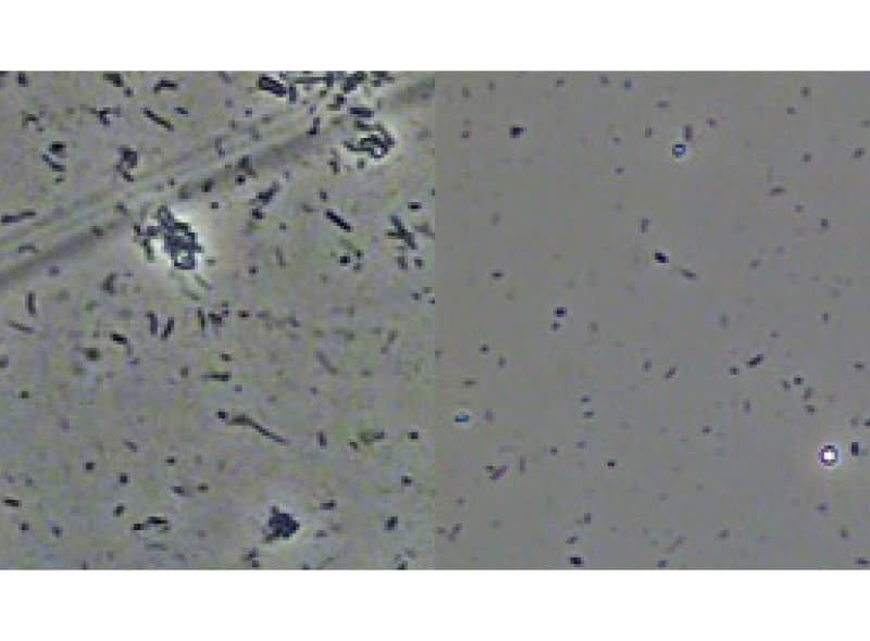
治療前と治療後
-
治療前
-
治療後
外科的治療

外科的治療は、歯周病治療としてもっともスタンダードなものだといえます。歯と歯ぐきの間の溝「歯周ポケット」からプラークや歯石、また感染した歯肉組織を取り除き、お口の中を細菌のないきれいな環境に整える治療法です。
歯周病が重度にまで進行すると、歯を支える顎の骨や歯ぐきなどの歯周組織が大きく溶かされているため、それを再生させる治療が必要になるケースもあります。当院ではこの再生治療において、約7割の症例で有効な再生が確認されています。
再生療法~エムドゲイン~

失われた歯周組織を再生させる治療です。垂直的な歯槽骨の欠損がある場合、再生させたい部分に「エムドゲイン・ゲル」という特殊な薬剤を入れ、歯槽骨の再生を促します。外科手術が必要になりますが、1時間ほどで終わり、痛みもほとんどありませんのでご安心ください。
ただし、骨が再生されても、プラークコントロールが不良だと再生骨は消去しますので、ご注意ください。
| 治療期間/治療回数 | 約3〜6ヶ月/7〜12回 |
|---|---|
| 注意点・デメリット |
|
歯周外科治療の費用について
| エムドゲイン | 33,000円 |
|---|
定期検診で健康なお口を
保ちましょう

歯は、食事や会話を楽しむための、かけがえのない一生涯の財産です。当院はその大切な財産を守り育てる「予防」こそ、歯科医療の根幹だと考えます。治療後の定期メインテナンスは、歯の健康という資産価値を未来に向けて維持するための大切なステップです。専門家によるクリーニングと検診は、ご自身では気づきにくい問題を早期に発見し、大きなトラブルを未然に防ぐことにつながります。
予防歯科お電話かメールでご予約を
お取りください。
- 受付時間
- 9:30~12:30 / 14:00~19:00
※土曜日は9時30分~13時まで診療しております。
※大学の講義、学校検診などの業務により、終日休診となることがあります。
※月・水は18:00までとなります - 休診日
- 木曜・土曜午後・日曜・祝日
